Message
歯を失ってしまったあなたへ
歯を失うきっかけは?
歯を失うきっかけは、いろいろ考えられますが、今回は特に「抜歯が必要な時」についてご説明します。
「抜歯が必要な時」=「お口の健康を守るために抜歯します」
歯を抜かない治療、削らない治療をこころかけていても、将来のお口の健康を守るためには、どうしても抜歯しなければならない場合がございます。つまり、どうしても治療として必要になってしまう場合です。
抜歯が必要になってしまうケース
残せないほどひどい虫歯

歯根の先端に病巣が出来て感染が広がる恐れのある虫歯や、根しか残っておらず歯髄(しずい)も死んでしまっているような歯。
歯周病が進行して、末期状態の歯

歯を支えている骨が溶けるほど歯周病が進行して、周囲の健康な歯や歯肉に炎症が広がる恐れがある歯。
歯にひびが入り修復出来ない歯

噛む力に耐えることが出来ず、周囲の歯や歯肉に負担をかけて炎症を起こす原因となる歯。
歯肉に埋まっている歯

- 埋伏歯(まいふくし):歯肉の中に埋まっている歯
- 捻転歯(ねんてんし):ねじれて生えてる歯
噛み合せを悪くし、周囲の健康な歯や歯肉に悪い影響を与えてしまいます。
生え変わりの邪魔をしている乳歯

乳歯から永久歯への生え替りがうまくいかないと、永久歯の歯並びが悪くなります。
それを防ぐ為に抜歯します。
矯正治療

歯並びの矯正、顎と歯の大きさが釣り合っていない場合、総合的な判断のもと抜く歯を決定し、抜歯する場合もあります。
インプラントとは

歯が失われている場所のあごの骨にチタン製の人工歯根(インプラント)を埋め、その上にクラウンやブリッジ、義歯を装着する手法です。
健康な歯列では上下左右で28本の歯で噛んでいます。その奥歯が1本でも失われると、噛む力は6割ほどになり、ブリッジや部分入れ歯を入れると噛む力は3割程度まで低下し、日常生活に不便を感じるようになります。
また、ブリッジや部分入れ歯は食感や味覚、発音等にも大きく影響し、そして何より心理的違和感が気持ちを重くします。
インプラント治療はこれらの問題点をカバーし、お口に機能と健康を取り戻す画期的な治療法です。
きっと部分入れ歯・ブリッジ等のご不満を解消できると思います。
インプラントのメリット
- 噛み心地が自然で、良く噛めます。
- 周りの天然歯や歯肉を痛めません、お口全体の歯が長持ちします。
- 心理的な違和感から解放されます。
- 大切なのはメンテナンスで、これさえしっかり行えば、かなり長持ちします。
- 入れ歯を固定することもできます。
インプラントのデメリット
- 手術があること
- 健康状態・お口のご様子によってはこの治療法ができない場合がある
まずは、ご相談下さい。
Feature
当院のインプラント治療の特徴
金子歯科クリニックではデンタルインプラントを導入しています。
天然歯とほとんど変わらない機能と外観です。
「思いっきり噛んで味わう事ができる」
「思いっきり笑顔で話す事ができる」
最新のインプラント治療です。一度当院にご相談下さい。
※デンタルインプラントにおいて、世界にてトップシェアをしめる ノーベルバイオケア製品を使用しています。
7つのポイント
① CTによる術前のシミュレーション
当院では、歯科用CTを設置しております。
インプラント治療では、撮影画像をもとに、的確な治療計画を立てることは、安心な治療が出来る重要なポイントです。


② オペ室完備の無菌的処置で抜群の成功率です。
院内にオペ室を完備しております。


③ 1回のオペで済みます。
何度もオペをすることはありません。
④ 高い安定度・普及率・信頼性を目指しています。
インプラントシステムを2種類採用。
⑤ インプラントは入れ歯の固定源としても大変役立ちます。
当院では入れ歯との併用も積極的に勧めています。
(メリットとして、全体の費用面でだいぶ安くなります。)
⑥ 各種診断機器による予後・経過観察、またその対応
先進的設備を完備。安心して治療が受けられます。
1本の歯を失った場合
最も一般的なインプラント方法で、失った部分に1本だけ埋入します。
ブリッジのように両サイドの歯を削らずに済む点がメリットといえます。
また、噛む際に歯ぐきにいい刺激が加わるので、顎の健康を保てます。


奥歯を含めて複数の歯を失った場合
数本の歯を失った場合や歯のない部分が広い場合、部分入れ歯を用いるのが通常でした。
しかし取り外し式の部分入れ歯は、残りの歯と、歯のない歯ぐきで支えらければならず、負担がありました。
インプラント治療の場合、インプラントを支えとした固定式ブリッジなので、安定します。


全ての歯を失った場合
入れ歯は通常、歯のない歯ぐきで支えざるを得ませんでした。しかしインプラント治療の場合は、インプラントのヘッド部をバータイプの連結させたうえで、入れ歯を固定する事ができる為、食事や会話時に入れ歯がずれてしまうようなことがありません。最近はインプラントとマグネット(磁石)を組み合わせた方法が注目されています。

Guarantee
永久保証システム
金子歯科クリニックの自由診療につきましては、一部を除き保障がついております。
通常の使用により壊れたものはもちろん、交通事故や転倒による破折につきましても以下の条件により承ります。
2年以内
| 2年以内 | 100%医院負担で行います。 |
|---|---|
| 2~5年以内 | 50%医院負担で行います。 |
| 5年以上ずっと | 20%医院負担で行います。 |
5年以内
| 使用期間から5年以内 | インプラント本体を100%医院負担で行います。 |
|---|

- 当クリニックにおいて装置したものに限らせて頂きます。
- 必ず最低でも半年に一回のメンテナンスにいらして下さい。
メンテナンスに応じていただけなかった期間がありますと、保障しかねますので予めご了承ください。 - 故障による破損は対象外とさせていただきます。
- 治療時健康な歯が将来的に虫歯や歯周病になった場合、今回作らせていただいた歯を作り直さなければならない場合があります。その場合は保障の対象外とさせていただきます。
治療費用
インプラント
| オペ・上部構造一式 | ¥367,000 |
|---|---|
| ジルコニアアバット | ¥40,000 |
※消費税込
CT
| 撮影・診断・ステント | ¥15,000 |
|---|
※消費税込
インプラント治療の流れ
① 診断治療計画

インプラント治療に必要な診査を行い、
インプラントの治療が可能かどうかを診断します。
その後治療計画を立てます。
※必要な場合は初期治療を行います。
② CT撮影

これまでかかった病気、現在の健康状態などを検査確認します。
その後、口腔内検査、CT撮影を行います。
③ サージカルガイドの作製

正確にインプラントを埋入するのに、コンピュータにて専用のサージカルガイド(マウスピース)を作製します。
④ 施術

あごの骨にインプラント(フィクスチャー)を埋め込みます。
この手術は局部麻酔で行います。
⑤ 人工の歯を作製・装着

歯ぐきが治った時点で型を取り、人工の歯を作ります。
形や色などは患者様に合わせて作製し、インプラントに取り付けます。
⑥ メンテナンス(3ヶ月~6ヶ月に一度)

メンテナンスと定期検診についてインプラントで治療した部分に限らず、口の中を衛生的に保つ必要があります。
ブラッシングの方法などについて適切な指導を受けてください。
また3ヶ月~6ヶ月に1回程度の定期検診を行い、インプラントや人工の歯の状態、噛み合わせを確認してください。
インプラント手術について
金子歯科クリニックの安心オペ室
当院のオペ室はオペがスムーズに進行するようにさまざまな工夫がなされています。まず完全に独立されたオペ室には塵を完全に防御することができ、まったく独立したエアーコンディション、追尾式のオペ用高性能ライトシステムを完備しています。またオペ室全体がレントゲン室になっており、術中に適宜レントゲンを撮って、常にその状態を確認することができます。
執刀には2名の歯科医師と経験豊富なアシスタントが補助にあたり、スムーズな施術を可能にしています。万が一の場合も酸素吸入器・AED・各種緊急薬品・血圧計・パルスオキシメーターなども装備しています。患者さんは少し驚かれるかも知れませんが、術者も患者さんも滅菌白衣・完全ドレープにて術中の感染に注意をはらっています。しかし、心配はいりません。術中はドクターやアシスタントとの会話が聞こえますので、恐怖感はすぐに消えると思います。






インプラントのメンテナンス

適切なメンテナンスが、インプラントを良好に保ちます。
インプラント治療を受けた後には、これまでより丁寧なメンテナンスが必要です。
残された歯や骨、口腔の衛生、全身状態などを常に良好に保つことがインプラントを長持ちさせます。
お口の状態に注意しながらホームケアを行い、定期的にクリニックで検診とプロによるケアを受けて下さい。
お手入れが不自由な場合、インプラント周囲の組織が歯周病になり、進行すると抜けおちてしまいます。
Point
- インプラント周囲の歯垢(プラーク)を確実に落とす正しいブラッシングを覚えましょう!
- 歯ブラシが届かない場所には、補助的な道具を使うと便利です!
- デンタルリンス(抗菌剤入り洗口液)も、お口の中を衛生的に保つのに役に立ちます!
定期的なメンテナンスをしっかり受けて下さい!

インプラントには神経がないため、感染しても症状を自覚出来ません!
インプラントがグラグラと動き、その周りから膿が出て、初めて気づきます。
こうならない為に、必ず定期的にインプラントの状態、歯肉の状態、噛み合せなどのチェックと専門的なケアをしっかりと受けて下さい。
※金子歯科クリニックでは、自由診療につきまして、一部保証がついておりますが必ず半年に1回のメンテナンスにいらして下さることをお願い致しております。
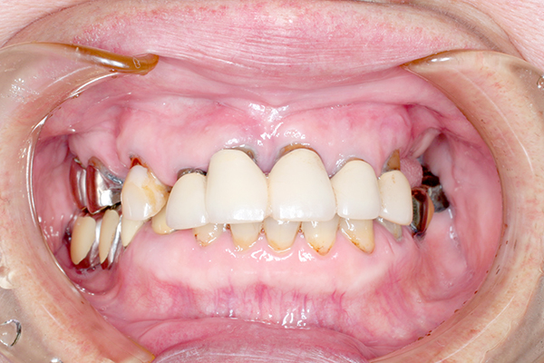
インプラントの症例
※外科手術になるので、数回通院が必要です。
また、お口や顎の状態によって手術が行えない場合がありますので、一度ご相談ください。
50歳女性


70歳女性
インプラントQ&A
-
Q インプラント治療をして身体に影響はないのですか?A
体に全く影響はありません。
インプラントに使われる金属(チタン)は世界中でも最もアレルギーの起こりにくい金属と言われています。
骨と結合する性質があり、重度の骨折を支えるためにも使われる金属ですので体に全く影響はありません。 -
Q インプラント治療が適しているのはどんな人ですか?A
歯を失って困っている多くの方々に適している治療です。
歯が抜けてしまっている、ブリッジが合わない、入れ歯にストレスを感じているなどの方にとって、 多くの場合適していると言えると思います。あとは、重度の疾患がない、顎野の骨の量が十分などの 身体上の条件次第です。
-
Q インプラント治療を行うのに痛みはありますか?A
抜歯と同じ程度で痛みは、ほとんどありません。
インプラント手術は、十分な局所麻酔下で行うため、痛みは抜歯と同じ程度でほとんどありません。
また、痛みを軽減する様々な療法を行っていますので、担当医に相談してください。 -
Q 治療期間はどのくらいですか?A
手術自体は30分から45分で終了し、入院の必要はありません。
白い歯が入るまで、術後1.5月から3か月の期間が必要です。
ただし症状によって、治療期間が異なりますので事前に担当医に相談しましょう。 -
Q インプラント治療期間中に食事は問題なくできますか?A
手術した後、通常は4~5日程度は、
なるべく固いものは避けることをお勧めしています。抜糸をしてから歯肉の状態が安定してきたら問題なくお食事いただけます。
もちろん、歯磨きも通常通り出来ます。 -
Q 糖尿病でもインプラント治療はできますか?A
ご相談ください。
医師の管理のもと、十分にコントロールされている軽度の糖尿病患者様であれば治療を受ける事が出来ますが、 状態によって出来ないことも考えられますので、ご相談ください。
-
Q 歯が一本もなくてもインプラント治療はできますか?A
可能です。
歯がすべて抜けてしまって、一本もなくてもインプラント治療は可能です。肝心なことは、 顎の骨がインプラント治療をできる状態(顎の骨の量がある)かどうかなのです。
-
Q 交通事故やスポーツなどで歯を失った場合も、インプラントはできますか?A
事故だからという理由でインプラントができないことはございません。
むしろ、他の歯が健康なことがほとんどですので、その部分だけインプラント治療を施せばいいということになります。
-
Q 新しい歯は、他の私自身の歯と同じように見えるのですか?A
同じように見えると言えます。
最近では審美性に優れた素材も沢山でてきているので、その違いは、 歯科医師でないと判断がつかないとも言えるくらい自然になってきています。
-
Q 面倒なアフターケアは嫌なのですが・・・?A
特別なアフターケアは必要ありません。
インプラントは普通に歯磨きをし、半年または年1回の定期健診だけで、長期に渡って使用できます。
40年以上経っても問題なく機能している実績もあります。 -
Q 費用が高いと聞きましたが・・・?A
症状や治療の内容により負担費用額が異なります。
インプラント治療には健康保険が適用されませんが、医療費控除の対象になることもあります。また、当クリニックではクレジットカード支払・カード分割支払い・ボーナス支払いなども可能です。
クレジットカード払いについてはこちら
インプラントに適切なアフターケアを行えば、長期に渡って機能しますので、一概に高いとは言い切れないでしょう。
Voice
インプラント体験者の声
52歳男性
カウセリングが丁寧で安心できました。
40歳女性
五年前に金子歯科クリニックでインプラント治療を受けました。
それまでは部分入れ歯を使用してましたが、違和感が無いのにびっくりしています。
入れ歯の時のように取り外す手間もなく、手入れも歯磨きで済むのがうれしいです。
旅行の時などは歯ブラシ一本持って行けばよいのでインプラントの良さをさらに実感します。
55歳女性
金子歯科クリニックでインプラントを入れて5~6年経ちます。
それまでは歯茎にフィットするタイプの入れ歯をそれなりに気に入って使ってましたが、インプラントにしたら自分の歯がよみがえった感じです。
歯を失ったことを忘れている毎日です。
35歳男性
手術という言葉に最初はびっくりしましたが、説明、術前の検査も丁寧にしていただきました。
手術は短時間で痛みもなく済みました。
すべての治療には数回通いました。現在は半年に一回検診に通ってます。
63歳女性
金子歯科クリニックでインプラントを入れて5~6年経ちます。
それまでは歯茎にフィットするタイプの入れ歯をそれなりに気に入って使ってましたが、
インプラントにしたら自分の歯がよみがえった感じです。歯を失ったことを忘れている毎日です。
55歳男性
奥歯を2本インプラントにしました。
堅い物もしっかり噛めるので、インプラントのところもガンガン使っています。
65歳女性
部分入れ歯のように金属のツメも無く、舌にふれる異物感も無いのでインプラントは最高です。
インプラントを大事に使うためにも残っている自分の歯のためにも、半年に1回のペースで歯の掃除とインプラントの点検に通院するようにしています。
47歳女性
歯を失ったところに2本のインプラントを埋めていただきました。
まるで自分の歯のように使ってます。
見た目も他の歯と同じように白い歯なので大きな口を開けて笑えます。
72歳女性
「手術」と聞いてちょっと不安でしたが、事前の説明で当日は不安なく楽な気持ちで手術にのぞみました。
術中も先生や衛生士さんがいろいろ声かけをしてくださったので緊張はありませんでした。
今ではインプラント治療を選択して良かったと思ってます。
70歳男性
五年前に金子歯科クリニックでインプラント治療を受けました。
それまでは部分入れ歯を使用してましたが、違和感が無いのにびっくりしています。
入れ歯の時のように取り外す手間もなく、手入れも歯磨きで済むのがうれしいです。
旅行の時などは歯ブラシ一本持って行けばよいのでインプラントの良さをさらに実感します。

